:format(webp)/cmVnaW9ucy9wb3N0cy9tZWRpYS9jb3ZlcnMvMjAyNS8wMi9RdnZsb1ZpcExQZW0xYkY3VmFnejBqd1BwWlB5Vkl5ZHk5TzVaeTQzLnBuZw.webp)
Минздрав МО назвал возможные причины образования огромного тромба в шее мужчины
Врачи в Подмосковье спасли мужчину с тромбом в 25 см в шееВ Министерстве здравоохранения Московской области назвали возможные причины образования огромного тромба в шее у молодого мужчину из Катуара. Причиной подобного нарушения могут быть генетические особенности, неправильное питание, нарушение внутреннего метаболизма, избыточная масса тела, отметили в ведомстве.
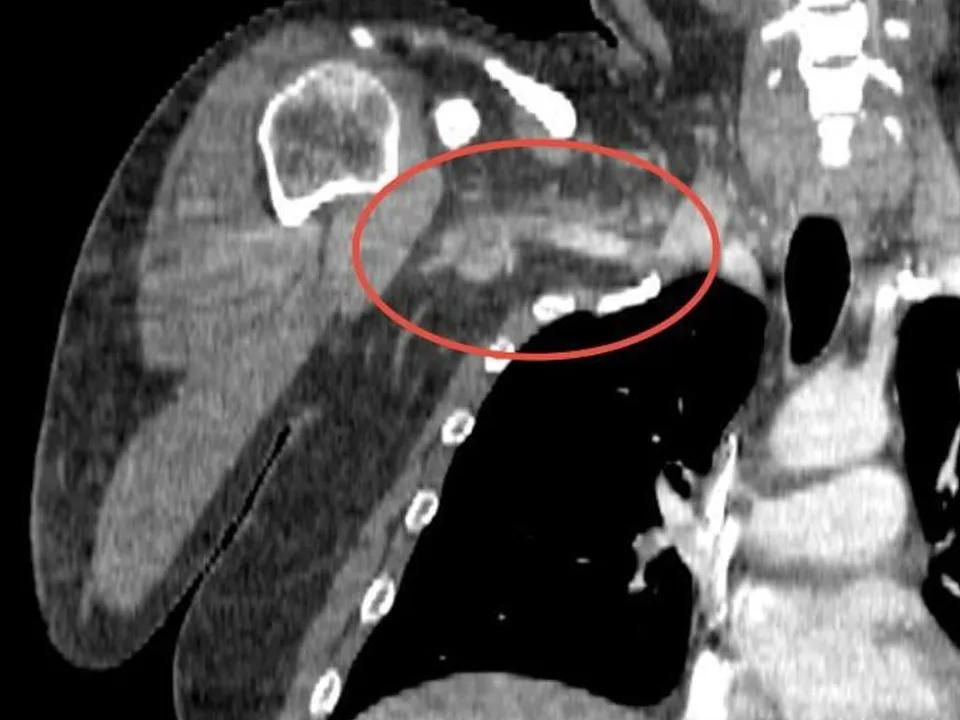
Врачи Центра спасения конечностей Долгопрудненской больницы провели операцию по извлечению тромба 34-летнего пациента. Мужчина поступил в больницу с жалобами на онемение правой руки, боли в области плеча и шеи, «вспышки» перед глазами, слабость и головокружение. Согласно данным, симптомы проявлялись несколько часов и быстро прогрессировали, вынуждая пациента обратиться за медицинской помощью.
Обследование показало отсутствие кровотока в подмышечной, подключичной и плечевой артериях с правой стороны.
:format(webp)/cmVnaW9ucy9wb3N0cy9tZWRpYS9pbWFnZXMvMjAyNS8wMi9jcXU4cmlyejR6cXo3dkl3T2RodVNnOXd4cmlRbFVudmp0cmNUUTN4LmpwZw.webp)
Операция длилась полтора часа. Врачи использовали специальный баллон, чтобы аккуратно удалить тромб. Баллон, раскрывшись внутри сосуда, продвигал сгусток к месту разреза в районе локтя, откуда тромб был извлечен с помощью хирургического инструмента. Пациент мог лишиться конечности, если бы тромб остался без лечения, а отрыв тромба и попадание его в мозг угрожали бы смертельным исходом.
После успешной операции кровоток и функции руки полностью восстановились. Пациента выписали домой для дальнейшего амбулаторного наблюдения. Специалисты поликлиники займутся определением причин возникновения тромба и предложат рекомендации по изменению образа жизни, а также назначат необходимое профилактическое лечение.
Ранее сообщалось, что врачи из Долгопрудного спасли пациента от ампутации руки.
:format(webp)/YXJ0aWNsZXMvaW1hZ2UvMjAyNi8zLzIwMjYwMzEzLTEzMzcxMS5qcGc.webp)
:format(webp)/aHR0cHM6Ly94bi0tODBhaGNubGhzeGoueG4tLXAxYWkvbWVkaWEvbXVsdGltZWRpYS9tZWRpYWZpbGUvZmlsZS8yMDI2LzAyLzEzLzIwMjYwMTE1XzEzMTY0NC5qcGc.webp)
:format(webp)/YXJ0aWNsZXMvaW1hZ2UvMjAyNi8zL2hpbnVpMWdhcmFwMXY1bWdidG9jcnE2bXExYmgyNmxmZ29ldGRvc3hpeXE1ZHF3c2I3MHNtdC1saGdjdnlzMnN6YnBkYnp1ZmRxc3hiM2JhMjd1Ym1yd2suanBn.webp)
:format(webp)/YXJ0aWNsZXMvaW1hZ2UvMjAyNi8zL2RlMXUxM2s4Z2ZpMWt6dGxzdzNsMGlrM2F6MnF2Zm10Z3p0ZGVzNnpmYnBxYnV6cy1zb21paG55MGV6eXlpbGVpeWJpb2UxdjNyZmI5ODBjajBrYXRjZC0xLmpwZw.webp)