Фото: медиасток.рф
Фото: медиасток.рф

Врачи Центра Рошаля спасли девочку и подарили ей возможность снова улыбаться

Красногорские врачи успешно прооперировали девочку с парезом лицевого нерва

/Главная /Здравоохранение
Автор текста:
Анна Иванова
/Главная /Здравоохранение
Автор текста:
Анна Иванова

В Детский клинический центр им. Л. М. Рошаля поступила 13-летняя девочка с острым гнойным отитом и осложнениями. У пациентки были гнойные выделения из правого уха, высокая температура, невозможность сомкнуть веки и асимметрия лица. Об этом сообщило Министерство здравоохранения Московской области.

Фото: ДКЦ им. Л. М. Рошаля
Фото: ДКЦ им. Л. М. Рошаля

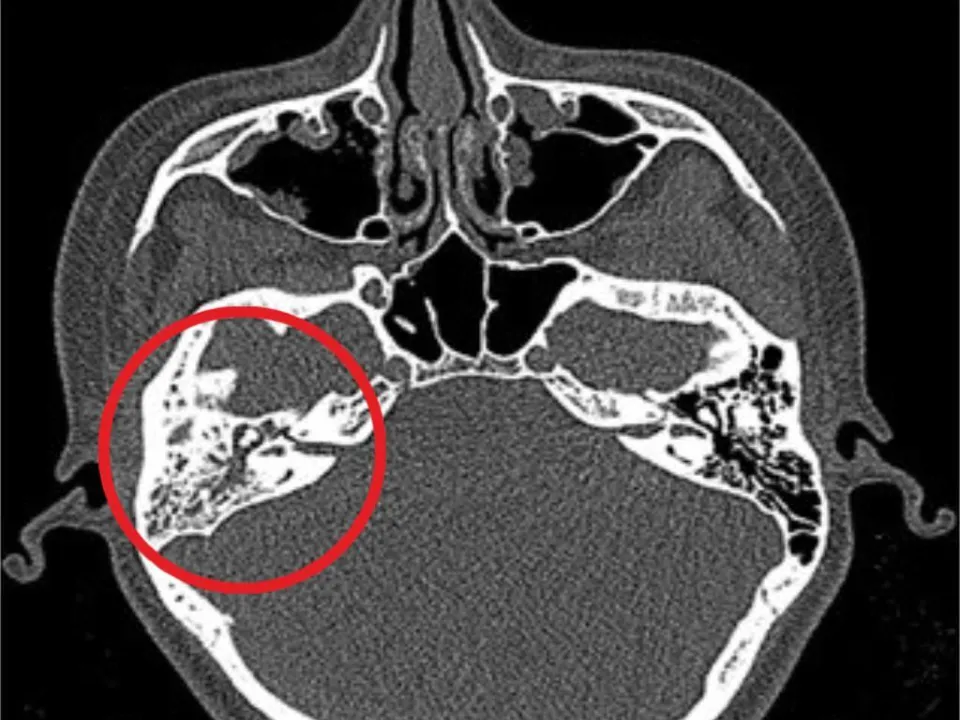
После осмотра оториноларингологи провели компьютерную томографию височных костей, которая подтвердила диагноз: острый правосторонний гнойный отит, острый правосторонний мастоидит и нейропатия лицевого нерва справа.


«У девочки был парез лицевого нерва, возникший как осложнение острого гнойного отита. Оториноларингологи провели антромастоидотомию — экстренную операцию по купированию воспалительного процесса в ухе, что способствовало остановке токсического воздействия на лицевой нерв», — рассказала заведующая отделением оториноларингологии Елена Ковалец.

Хирурги рассекли мягкие ткани в заушной области и очистили полость сосцевидного отростка от гноя и воспаленных тканей. Затем был установлен дренаж для обеспечения оттока выделений. Операция длилась около двух часов и прошла успешно.

После хирургического вмешательства девочке были назначены антибактериальная и противовоспалительная терапии. В ее лечении также активно участвовали реабилитологи, неврологи и физиотерапевты. На седьмой день после операции пациентку выписали из больницы, а через две недели она пришла на контрольный осмотр. Врачи отметили полное восстановление функционирования лицевого нерва.

Как отметили в региональном Минздраве, благодаря слаженной работе мультидисциплинарной команды Детского центра им. Л. М. Рошаля девочка смогла вернуться к полноценной жизни и вновь улыбаться.

Ранее сообщалось, что красногорские врачи достали флешку с заданием по информатике из желудка ребенка.