:format(webp)/cmVnaW9ucy9wb3N0cy9tZWRpYS9jb3ZlcnMvMjAyNS8wOC9LdkhuSGJEQ21UcTZmb2NpM1VSRFVJZGthSk9OWExhd1BBcGJUSTZqLmpwZw.webp)
Крик о помощи: в Одинцове ветеринары и волонтеры борются за жизнь искалеченного живодерами пса
В Подмосковье волонтеры ищут хозяев пса, которому пробили голову на кладбищеИстория потрясла тысячи людей: у Бониса пробита голова, разрезана пасть, множественные раны с опарышами, внутренние повреждения.
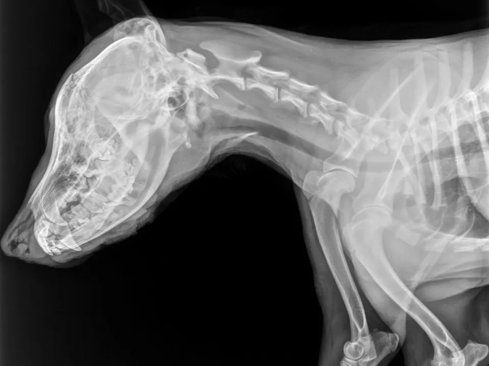
Сложнейшая операция
Когда пса нашли — на нем был красный ошейник. Очевидно, что он был домашним. Его срочно доставили в клинику, где хирурги во главе с доктором Комаровым провели сложную операцию — некроэктомию, зачистили раны, установили эзофагостому, чтобы четвероногий мог получать питание, несмотря на сильный отек морды.
:format(webp)/cmVnaW9ucy9wb3N0cy9tZWRpYS9pbWFnZXMvMjAyNS8wOC93TmFES21LMWhMNHloWThlbXM1NzlkdmlxSEJpcVNKcWwwb2w2Qk5YLmpwZw.webp)
Взяли под крыло
Сейчас всеми медицинскими вопросами занимается приют «Тимошка». Благотворительная группа организовала сбор средств — все пожертвования идут на лечение. В дело уже включились более 2000 волонтеров, которые ищут хозяев пострадавшего пса и помогают полиции установить виновных.
Видео: ТГ-канал «Помощь собаке с Лианозовского кладбища»
Состояние пса остается тяжелым, но врачи и добровольцы не опускают рук. Судьбу собаки можно отслеживать на странице приюта и в группе помощи. Всех, кто располагаете какой-либо информацией о собаке или происшествии, добровольцы просят обязательно связаться с ними.
:format(webp)/cmVnaW9ucy9wb3N0cy9tZWRpYS9pbWFnZXMvMjAyNS8wOC95ZUdHNnRzbFNwbkRjb0c3TXdKVURXTk43cmhZSmdabVRvMERtQUE0LmpwZw.webp)
Ранее REGIONS писал о том, что одинцовский эколог уже 15 лет спасает осиротевших бельчат и возвращает их в дикую природу.
:format(webp)/cmVnaW9ucy9wb3N0cy9tZWRpYS9jb3ZlcnMvMjAyNi8wMS9ZeWV3b3Z3RzRCOUYwM3gzWW1GR3A1dTRRUmJoMGtDTW1GVDljM2VCLmpwZw.webp)
:format(webp)/YXJ0aWNsZXMvaW1hZ2UvMjAyNi8xL3NuZWdvdmlrLTEuanBn.webp)
:format(webp)/YXJ0aWNsZXMvaW1hZ2UvMjAyNi8xL3NpZ2FsLmpwZw.webp)
:format(webp)/YXJ0aWNsZXMvaW1hZ2UvMjAyNi8xLzMzZmNjMzVmZmJiZjExZjBiYzk4YjY3MTgzYWVhNGUzLTEuanBn.webp)