:format(webp)/cmVnaW9ucy9wb3N0cy9tZWRpYS9jb3ZlcnMvMjAyNC8xMS9hMElMUWRCYW5WbjFKZnJQTEdzNkhOY2hqaEdBdVdWRzFhb3BZMTJqLnBuZw.webp)
Врачи Сергиева Посада спасли дачника, ногу которого намотало на зубья мотокультиватора
В Сергиево-Посадскую больницу поступил 74-летний мужчина с серьезной травмой ноги, которая застряла в плуге мотокультиватора во время вспашки дачного участка, сообщили в пресс-службе Министерства здравоохранения Московской области.
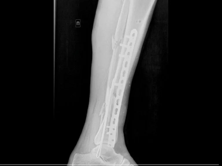
По неосторожности нога пострадавшего попала во вращающий механизм, что привело к тяжелым повреждениям: открытый оскольчатый перелом правой голени, рваная рана бедра и большая лоскутная рана на левой голени. Когда мужчину доставили в больницу, его нога была холодной и посиневшей из-за отсутствия кровотока.
На следующем этапе операции врачи использовали титановую пластину для остеосинтеза, что позволило закрепить кости в правильном положении через небольшой разрез. Это помогло сохранить двигательную функцию ноги.
В ведомстве рассказали, что сейчас пациент выписан домой и продолжит реабилитацию в поликлинике.
Ранее врач Алмазова рассказала, какими напитками опасно запивать таблетки.
:format(webp)/cmVnaW9ucy9wb3N0cy9tZWRpYS9pbWFnZXMvMjAyNC8xMS9kclJYeU13bjNzYkhPWVZzcEFxNUFXNXplRVQ5MElYQkJ4MzFwY1pCLnBuZw.webp)