logo/ Шатура
/новости Московской области
  • Новости
  • Статьи
  • Видео
  • Контакты
  • Выбор города
  • Общество
  • Культура
  • Здравоохранение
  • Образование
  • Экономика и бизнес
  • Сельское хозяйство
  • Новости Подмосковья
  • Благоустройство
  • Туризм
  • Новости
  • Транспорт и дороги
  • Здоровье
  • Территория безопасности
  • Природа и мы
  • Социальная защита
  • Происшествия
  • Спорт
  • Правопорядок
  • ЖКХ
  • Строительство и переселение
  • Официально
  • Блог
  • Герои СВО
  • Сад и огород

/лента новостей

  • Спорт

    Мороз не помеха: лыжные гонки в Рошале собрали почти 80 спортсменов из Подмосковья

    Сегодня 07:41
  • Природа и мы

    Синоптик Леус назвал примерные даты оттепелей в феврале 2026

    Сегодня 07:31
  • Природа и мы

    Удар по сосудам: точная дата и почасовой прогноз магнитных бурь и возмущений на 1-2 февраля

    Сегодня 07:29
  • Природа и мы

    Терпеть осталось недолго: названа дата, после которой лютые холода в Подмосковье закончатся

    Сегодня 06:42
  • ЖКХ

    Сначала детские площадки, потом тихие аллеи: парки Шатуры избавляют от снега

    31 января20:26
  • ЖКХ

    «Морозная погода никого не испугала»: в Шатуре прошел субботник

    31 января20:07
  • Природа и мы

    Ложные солнца увидят в Подмосковье: как и когда наблюдать паргелий

    31 января13:17
  • Природа и мы

    Где в Подмосковье минувшей ночью 31 января было холоднее всего

    31 января10:12
  • Общество

    Волонтеры в Шатуре расчистили двор от снега семье участника спецоперации

    31 января09:51
  • Общество

    Прощание с директором энергетического техникума Михаилом Рысенковым состоится в Шатуре 1 февраля

    31 января09:40
  • Природа и мы

    Метели и -30°C продолжатся: в феврале Подмосковье сначала замерзнет, а потом утонет в снегу

    31 января00:25
logo
/новости Московской области
Сетевое издание «РЕГИОНЫ.РУ»
Учредители: ГАУ МО «Издательский дом «Подмосковье» 
и ГАУ МО «Цифровые Медиа»
Главный редактор — Попов И. А.
Тел.: +7(495)223-35-11
E-mail: news@regions.ru

СВИДЕТЕЛЬСТВО О РЕГИСТРАЦИИ СМИ 
ЭЛ № ФС77-86406 ВЫДАНО ФЕДЕРАЛЬНОЙ СЛУЖБОЙ 
ПО НАДЗОРУ В СФЕРЕ СВЯЗИ, ИНФОРМАЦИОННЫХ 
ТЕХНОЛОГИЙ И МАССОВЫХ КОММУНИКАЦИЙ 
(РОСКОМНАДЗОР) 27.11.2023 г.

© 2025 права на все материалы сайта принадлежат 
ГАУ МО «Издательский дом «Подмосковье» (ОГРН:1115047016908)
ГАУ МО «Цифровые медиа» (ОГРН:1255000059467)
  • О редакции
  • Авторы
  • Рекламодателям
  • Вакансии
  • Контактная информация
  • Политика конфиденциальности
  • Политика обработки
и защиты персональных данных
  • Соблюдение авторских прав

/Здравоохранение

Фото: администрация городского округа Шатура
Здравоохранение

Два десятка врачей получили бесплатные участки в Шатуре по губернаторской программе

21 декабря 2024 года15:00
Фото: ГБУЗ МО «Шатурская больница»
Здравоохранение

Лазерный аппарат для лечения заболеваний кожи поступил в Шатурскую больницу

18 декабря 2024 года13:33
Фото: администрация Шатуры
Здравоохранение

В поселке Бакшеево завершился капремонт амбулатории

14 декабря 2024 года13:23
Фото: ГБУЗ МО «Шатурская больница»
Здравоохранение

Новый видеоэндоскоп поступил в Шатурскую больницу

10 декабря 2024 года12:05
Фото: REGIONS
Здравоохранение

На Бульваре Мира открылась выставка посвященная местным врачам

3 декабря 2024 года16:19
Фото: Министерство здравоохранения Московской области
Здравоохранение

Более 15 новых врачей устроились на работу в Шатуру с начала года

2 декабря 2024 года16:36
Фото: unsplash.com
Здравоохранение

Рошальские врачи помогли жителям узнать о болезнях, о которых они не подозревали

2 декабря 2024 года15:25
Фото: МедиаБанк Подмосковья/Наталья Лымарь
Здравоохранение

С начала года 18 новых врачей устроились на работу в Шатурскую больницу

30 ноября 2024 года17:00
Фото: пресс-служба Минздрава МО
Здравоохранение

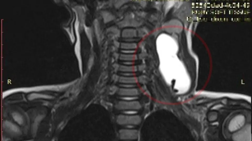
Ребенка со скоплением лимфы на шее спасли врачи медцентра Рошаля

29 ноября 2024 года13:36
Фото: пресс-служба администрации городского округа Шатура
Здравоохранение

До конца года отремонтируют крышу амбулатории в поселке Радовицком

26 ноября 2024 года10:05
Фото: пресс-служба Минздрава МО
Здравоохранение

Пациентку 16 лет с инсультом спасли врачи Детского центра Рошаля

25 ноября 2024 года14:03
Фото: REGIONS/Александр Смолин
Здравоохранение

Шатурские врачи призывают граждан отказаться от курения

23 ноября 2024 года14:10
Фото: пресс-служба администрации городского округа Шатура
Здравоохранение

Врач Шатурской больницы получил участок для строительства дома

22 ноября 2024 года09:25
Фото: ГБУЗ МО «Шатурская больница»
Здравоохранение

Более 1000 пожилых шатурян получили помощь врачей-гериатров

21 ноября 2024 года15:11
Фото: Шатурская больница
Здравоохранение

Врач из Костромы начал прием пациентов в Рошале

20 ноября 2024 года09:15
Фото: Шатурская больница
Здравоохранение

Молодой врач-онколог приступил к работе в Шатурской больнице

19 ноября 2024 года15:42
/загрузить ещё